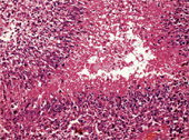
<p>In a collaborative research programme, scientists at the Indian Institute of Science (IISc) led by Professor Kumar Somasundaram, Department of Microbiology and Cell Biology (MCB), and Professor Vani Santosh from the National Institute of Mental Health and Neurosciences (NIMHANS), Bangalore, are using state of the art genetic engineering tools to precisely grade glioma, which is the most common primary tumour occurring in the human brain. </p>.<p>Haphazard division of cells<br /><br />Cancer is a group of diseases characterised by uncontrolled growth and spread of abnormal cells. We all know cells are the structural units of all living things. <br /><br />Each of us has trillions of cells and these cells make it possible for us to carry out all kinds of functions of life: the beating of the heart, breathing, digesting food, thinking, walking, and so on. The most fundamental characteristic of cells is their ability to reproduce themselves. They do this simply by dividing. One cell becomes two; the two become four, and so on. The division of normal and healthy cells occurs in a regulated and systematic fashion. In contrast, cancer cells divide in a haphazard manner. The result is that they typically pile up into a non-structured mass or tumour. <br /><br />Researchers are working hard to understand more about how genes work inside the body and why things sometimes go wrong. Recently, cancer research has focused on understanding how a normal cell, through a series of genetic changes, turns into a cancerous cell. A number of genes have been identified that play a part in the development of some cancers. If a person is born with a gene change (mutation) that makes them more likely to develop cancer, we say that they have inherited a cancer gene.<br /><br />Astrocytomas (the most commonly occurring glioma) are graded on a scale of I to IV according to their degree of malignancy as judged by various histological features. In order to help doctors grade astrocytomas, Somasundaram and his students are studying the “microRNA (miRNA) gene expression” for normal brain tissues and for grades III and IV astrocytoma, in order to identify a ‘miRNA expression signature’, which will help clinical investigators grade the tumours accurately. miRNAs are a class of small noncoding RNAs that control gene expression by targeting mRNAs. Aberrant expression of miRNAs may be involved in human diseases, including cancer.</p>.<p>Signature pattern<br /><br />In path-breaking research soon to be published, they have identified 24 miRNA genes from amongst several hundred that could be the ‘signature pattern’ for tumour grading. He says, “We have performed large-scale gene expression analysis on gliomas of all histology types to assess whether a gene expression-based, histology-independent classifier can be used by clinical investigators”. <br /><br />Results show that miRNA gene expression-based grouping of tumours is a powerful method of glioma grading. In experimental results, they have reported 95 percent accuracy in grading type III and IV astrocytomas. Brain tissue samples for this investigation were taken from patients who underwent surgery at NIMHANS. <br /><br />Prof Somasundaram says “with the advent of the molecular era, we now have the opportunity to re-examine the biology of these tumours with a level of precision that promises to make meaningful advances toward the development of specific and effective rational therapies”. <br /><br />Current glioma treatment involve a combination of – surgical intervention, radiation and chemotherapy, depending on the grade of the tumour.<br /><br />Neurosurgeons, clinical investigators and scientists working together on this research programme, feel that since accurate histopathological grading is not possible in all cases of glioma in view of limited sample size in many tumours, patients may be denied of appropriate treatment protocols. This however can be minimised by such robust technologies. <br /><br />They feel that the list of 24 miRNAs identified by them, are outstanding candidates for use in histology-independent classification of high-grade gliomas. <br />It is needless to say that additional validation on large set of samples is the immediate priority. </p>
<p>In a collaborative research programme, scientists at the Indian Institute of Science (IISc) led by Professor Kumar Somasundaram, Department of Microbiology and Cell Biology (MCB), and Professor Vani Santosh from the National Institute of Mental Health and Neurosciences (NIMHANS), Bangalore, are using state of the art genetic engineering tools to precisely grade glioma, which is the most common primary tumour occurring in the human brain. </p>.<p>Haphazard division of cells<br /><br />Cancer is a group of diseases characterised by uncontrolled growth and spread of abnormal cells. We all know cells are the structural units of all living things. <br /><br />Each of us has trillions of cells and these cells make it possible for us to carry out all kinds of functions of life: the beating of the heart, breathing, digesting food, thinking, walking, and so on. The most fundamental characteristic of cells is their ability to reproduce themselves. They do this simply by dividing. One cell becomes two; the two become four, and so on. The division of normal and healthy cells occurs in a regulated and systematic fashion. In contrast, cancer cells divide in a haphazard manner. The result is that they typically pile up into a non-structured mass or tumour. <br /><br />Researchers are working hard to understand more about how genes work inside the body and why things sometimes go wrong. Recently, cancer research has focused on understanding how a normal cell, through a series of genetic changes, turns into a cancerous cell. A number of genes have been identified that play a part in the development of some cancers. If a person is born with a gene change (mutation) that makes them more likely to develop cancer, we say that they have inherited a cancer gene.<br /><br />Astrocytomas (the most commonly occurring glioma) are graded on a scale of I to IV according to their degree of malignancy as judged by various histological features. In order to help doctors grade astrocytomas, Somasundaram and his students are studying the “microRNA (miRNA) gene expression” for normal brain tissues and for grades III and IV astrocytoma, in order to identify a ‘miRNA expression signature’, which will help clinical investigators grade the tumours accurately. miRNAs are a class of small noncoding RNAs that control gene expression by targeting mRNAs. Aberrant expression of miRNAs may be involved in human diseases, including cancer.</p>.<p>Signature pattern<br /><br />In path-breaking research soon to be published, they have identified 24 miRNA genes from amongst several hundred that could be the ‘signature pattern’ for tumour grading. He says, “We have performed large-scale gene expression analysis on gliomas of all histology types to assess whether a gene expression-based, histology-independent classifier can be used by clinical investigators”. <br /><br />Results show that miRNA gene expression-based grouping of tumours is a powerful method of glioma grading. In experimental results, they have reported 95 percent accuracy in grading type III and IV astrocytomas. Brain tissue samples for this investigation were taken from patients who underwent surgery at NIMHANS. <br /><br />Prof Somasundaram says “with the advent of the molecular era, we now have the opportunity to re-examine the biology of these tumours with a level of precision that promises to make meaningful advances toward the development of specific and effective rational therapies”. <br /><br />Current glioma treatment involve a combination of – surgical intervention, radiation and chemotherapy, depending on the grade of the tumour.<br /><br />Neurosurgeons, clinical investigators and scientists working together on this research programme, feel that since accurate histopathological grading is not possible in all cases of glioma in view of limited sample size in many tumours, patients may be denied of appropriate treatment protocols. This however can be minimised by such robust technologies. <br /><br />They feel that the list of 24 miRNAs identified by them, are outstanding candidates for use in histology-independent classification of high-grade gliomas. <br />It is needless to say that additional validation on large set of samples is the immediate priority. </p>